Traitement dentaire pour patientèle de personnes âgées qualifié près de Lyon 69 Rhône

Traitement dentaire pour patientèle de personnes âgées qualifié près de Lyon 69 Rhône
Eme-lyne

Eme-lyne

Assistante dentaire qualifiée
En savoir plus
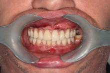
Cas concrêt d'une implantation avec prothèse fixe immédiate pour une réhabilitation complète du haut proche de Belleville-en-Beaujolais

Cas concrêt d'une implantation avec prothèse fixe immédiate pour une réhabilitation complète du haut proche de Belleville-en-Beaujolais

Près de Belleville-en-Beaujolais, Implantys a aidé une patiente de 72 ans à retrouver un sourire stable et naturel grâce à une prothèse fixe immédiate sur implants, offrant confort et esthétique dès la pose.
En savoir plus
avant implantation avec pose de prothèse immédiate sur incisive

Déroulement d'une implantation avec pose de prothèse immédiate pour plus de confort chez Implantys près de Caluire-et-Cuire

Chez Implantys, près de Caluire-et-Cuire, l’implantation avec prothèse immédiate inclut extraction si nécessaire, pose d’implant, empreinte numérique, puis couronne ou prothèse provisoire fixe pour confort esthétique immédiat.
En savoir plus
place

Nos prestations sur le secteur de près de Lyon 69 Rhône

Hygiène bucco-dentaire post-opératoire : les bons gestes à adopter après la pose d’implants pour une cicatrisation optimale proche de Trévoux

Hygiène bucco-dentaire post-opératoire : les bons gestes à adopter après la pose d’implants pour une cicatrisation optimale proche de Trévoux.

Après la pose d’un implant, une hygiène douce et adaptée est essentielle. Les premières 24 heures, évitez tout brossage sur la zone opérée. Dès le lendemain, un rinçage à la chlorhexidine est recommandé. Le brossage avec une brosse extra-souple peut reprendre à partir du 5ᵉ jour, selon la cicatrisation. Pas de brossettes ni de jet dentaire avant validation du chirurgien.
En savoir plus
Réalisation d’un guide chirurgical pour faciliter la pose de 2 implants du bas

Réalisation d’un guide chirurgical grâce à la technologie numérique chez Implantys proche de Lozanne

Le cabinet Implantys, près de Lozanne, utilise l’imagerie 3D, la planification virtuelle et l’impression 3D pour créer des guides chirurgicaux sur mesure, assurant une pose d’implants précise, rapide et sécurisée.
En savoir plus
center_focus_strong

Notre zone d'activité pour ce service Traitement dentaire pour patientèle de personnes âgées qualifié

L'importance de la maintenance implantaire par notre spécialiste près de Pommiers

L'importance du contrôle des implants dentaires, la maintenance implantaire par notre spécialiste près de Pommiers

Au cabinet Implantys, nous assurons un suivi régulier de vos implants pour préserver leur santé sur le long terme. Un contrôle annuel permet de détecter précocement d’éventuelles maladies péri-implantaires, souvent silencieuses mais évolutives. Notre objectif : prévenir les complications et garantir la pérennité de vos traitements implantaires.
En savoir plus

Spécialiste des gencives et parodontologie pour traiter des dents qui se déchaussent  à  près de Lyon 69 Rhône 

Vous êtes aux prises avec des dents qui se déchaussent et vous cherchez un spécialiste en parodontologie près de Lyon 69 Rhône ? Ne cherchez plus, IMPLANTYS - Dr Minassian Harmik est la clinique qu'il vous faut. Notre équipe de parodontologues qualifiés propose des traitements de pointe pour les gencives et des solutions durables pour les dents qui se déchaussent. Grâce à notre équipement moderne et à notre expertise dans le domaine, nous vous offrons une prise en charge globale pour une meilleure santé bucco-dentaire. N'attendez pas que le problème s'aggrave, prenez rendez-vous dès aujourd'hui.

 

Dentiste implantologie dentaire pour dents cassées proche de à  près de Lyon 69 Rhône 

Vos dents cassées vous gênent au quotidien et vous êtes à la recherche d'une solution durable ? IMPLANTYS - Dr Minassian Harmik, situé proche de près de Lyon 69 Rhône, est votre partenaire idéal pour résoudre ce problème. Spécialisés en implantologie dentaire, nos dentistes qualifiés vous offrent des options adaptées à votre cas. Avec des techniques modernes et un équipement à la pointe de la technologie, nous assurons des implants dentaires de haute qualité qui redonneront fonctionnalité et esthétisme à votre sourire. Faites confiance IMPLANTYS - Dr Minassian Harmik pour retrouver un sourire éclatant.

Nous écrire
Les champs indiqués par un astérisque (*) sont obligatoires
Nos partenaires
UFSBD

Union française pour la santé bucco-dentaire France UFSBD.

L’UFSBD (Union Française pour la Santé Bucco-Dentaire) est l’organisme de la profession dentaire qui a pour objectif d’animer et de coordonner toutes les actions réalisées en faveur de la santé bucco-dentaire en France. Elle a des actions d’éducation, de sensibilisation, de dépistage et/ou de form...
En savoir plus
Nobel Biocare

Fournisseur de matériel implantaire Paris Nobel Biocare.

Nobel Biocare est une des trois marques d'implants utilisées au cabinet. Les implants sont en titane, ils sont donc robustes et parfaitement ostéo-intégrables.
En savoir plus
Straumann

Fournisseur de matériel implantaire Suisse Straumann.

Straumann est une des trois marques d'implants utilisées au cabinet. Les implants sont en titane, ils sont donc robustes et parfaitement ostéo-intégrables.
En savoir plus