1. Accueil
  2. Implant dentaire
  3. Implant zygomatique en cas de perte osseuse importante chez Implantys près de Belleville-en-Beaujolais
Retour

Implant zygomatique en cas de perte osseuse importante chez Implantys près de Belleville-en-Beaujolais

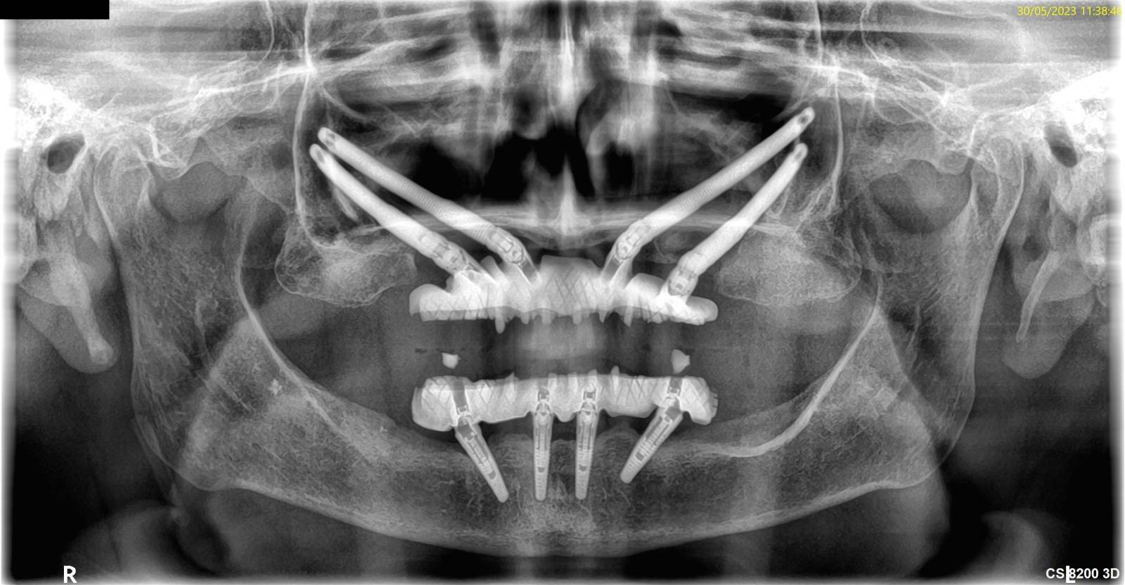
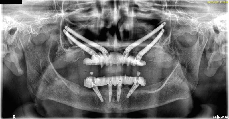
L'implant zygomatique, également connu sous le nom d'implant malaire, est une option de traitement utilisée au cabinet Implantys près de Mâcon pour ancrer des prothèses dentaires chez les patients qui ont une perte osseuse sévère dans la région maxillaire supérieure et qui ne peuvent pas bénéficier d'implants conventionnels en raison du manque de densité osseuse. L'implant zygomatique diffère donc des implants dentaires conventionnels qui sont, eux, insérés dans l'os maxillaire. Cet implant est conçu pour être fixé dans l'os zygomatique, également appelé os malaire, situé près de la pommette. Cette alternative vous est proposée par nos chirurgiens dentistes spécialisés en implantologie, au cabinet Implantys proche de Belleville-en-Beaujolais.


Le processus d'implantation zygomatique est plus complexe que celui des implants conventionnels. Il nécessite une évaluation et une planification approfondies, ainsi qu'une intervention chirurgicale réalisée par un spécialiste qualifié, comme vous en trouverez dans notre au cabinet Implantys près de Belleville-en-Beaujolais. Pendant la chirurgie réalisée sous anesthésie générale, l'implant zygomatique est fixé à l'os zygomatique de manière à fournir une base solide pour les prothèses dentaires, telles que les bridges ou les prothèses complètes.


L'implant zygomatique est considéré comme une solution avancée pour les patients qui ont une perte osseuse sévère dans la région maxillaire supérieure et qui ne peuvent pas bénéficier d'implants dentaires conventionnels. Cependant, en raison de la complexité de la procédure et de la nécessité d'une expertise spécialisée, tous les dentistes ne pratiquent pas cette technique. Si vous êtes intéressé par l'implant zygomatique, il est recommandé de consulter un spécialiste qualifié en implantologie dentaire qui pourra évaluer votre cas et vous fournir les informations appropriées. Nos praticiens du cabinet Implantys à proximité de Belleville-en-Beaujolais vous accompagnent dans ces traitements.

 

Les photos illustrant nos cas cliniques avant/après présentent des personnes consentantes et les mêmes patients y figurent, respectivement, pour le résultat avant/après. Ces photos nont pas été retouchées. Nous attirons expressément votre attention sur le fait que le résultat observé est propre à la personne concernée et quun résultat identique ne peut être attendu pour une autre personne, en raison de la propre individualité de chacun.

À découvrir
Dr. Harmik Minassian
En savoir plus +

Dr. Harmik Minassian

Chirurgien dentiste Implantologue
En savoir plus
perte de masse osseuse
En savoir plus +

Dans quels cas avoir recours à la greffe osseuse pour la pose d'implants dentaires proche de Mâcon ?

Une greffe osseuse peut être nécessaire près de Mâcon avant la pose d’implants en cas d’insuffisance osseuse, de résor...
En savoir plus
avant implantation avec pose de prothèse immédiate sur toute l'arcade supérieure
En savoir plus +

Dans quelles situations peut-on avoir recours à la mise en charge immédiate proche de Mâcon ?

Près de Mâcon, le cabinet Implantys réussit la mise en charge immédiate selon la qualité et quantité d’os, utilisant d...
En savoir plus