Rendez-vous chez un dentiste pour un détartrage près de Mâcon 71 Saône-et-Loire

Rendez-vous chez un dentiste pour un détartrage près de Mâcon 71 Saône-et-Loire
mandibule édentée

Les avantages et intérêts de la technique All on 4®, procédure utilisée par votre cabinet dentaire proche de Tassin-la-Demi-Lune

Le All-on-4® permet de remplacer toutes les dents d’une mâchoire en utilisant seulement 4 implants, sans avoir besoin de greffe osseuse. Simple, rapide et économique, cette méthode est idéale pour les patients souhaitant un traitement plus court et bien toléré. Chez Implantys, nous réalisons vos prothèses en France avec les dernières technologies pour garantir qualité et fiabilité.
En savoir plus
Implants Straumann® PURE Ceramic

Votre cabinet près de Gleizé vous propose des implants dentaires en zircone pour un résultat plus esthétique

Au cabinet Implantys, nous proposons des implants en zircone, une alternative esthétique et hypoallergénique aux implants en titane. Fabriqués en céramique blanche, ces implants sont idéaux pour les patients sensibles aux métaux et offrent un excellent rendu naturel sous la gencive. Nos spécialistes vous orienteront vers la solution la mieux adaptée à votre situation.
En savoir plus
Quelle stratégie adopter après un détartrage et un surfaçage radiculaire réalisés près de Anse afin d’éviter une rechute rapide de la parodontite ?

Quelle stratégie adopter après un détartrage et un surfaçage radiculaire réalisés près de Gleizé afin d’éviter une rechute rapide de la parodontite ?

Après avoir bénéficié d’un détartrage et d’un surfaçage radiculaire près de Gleizé, il est crucial d’adopter des mesures de prévention rigoureuses pour maintenir les résultats et prévenir la récidive de la parodontite. Un suivi régulier et des soins spécifiques sont essentiels pour assurer la stab...
En savoir plus
place

Nos prestations sur le secteur de près de Mâcon 71 Saône-et-Loire

Implants dentaires près de Saint-Didier-au-Mont-d’Or – Traitement spécialisé et personnalisé au cabinet Implantys

Implants dentaires près de Saint-Didier-au-Mont-d’Or – Traitement spécialisé et personnalisé au cabinet Implantys

À seulement 25 minutes de Saint-Didier-au-Mont-d’Or, le cabinet Implantys, spécialisé en implantologie dentaire, vous propose des solutions personnalisées pour retrouver un sourire fonctionnel et esthétique. Grâce à des techniques avancées (scanner 3D, chirurgie guidée, All-on-4), nos praticiens vous accompagnent à chaque étape dans un cadre moderne et rassurant.
En savoir plus
Quels problèmes engendrent l'accumulation de tartre aux alentours de Dardilly ?

Quels problèmes engendrent l'accumulation de tartre aux alentours de Dardilly ?

Le tartre, dépôt dur sur les dents, favorise maladies des gencives et mauvaise haleine. Le cabinet Implantys près de Dardilly vous accompagne pour l’éliminer et préserver votre santé bucco-dentaire.
En savoir plus
center_focus_strong

Notre zone d'activité pour ce service Rendez-vous chez un dentiste pour un détartrage

avant implantation avec pose de prothèse immédiate sur toute l'arcade supérieure

Dans quelles situations peut-on avoir recours à la mise en charge immédiate proche de Mâcon ?

Près de Mâcon, le cabinet Implantys réussit la mise en charge immédiate selon la qualité et quantité d’os, utilisant des implants spécifiques. Une évaluation personnalisée garantit la faisabilité et le succès du traitement.
En savoir plus

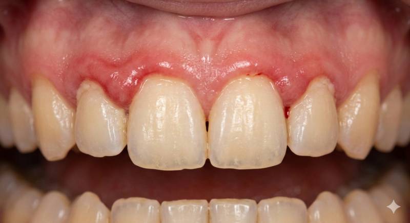
Spécialiste des gencives et parodontologie pour traiter des dents qui se déchaussent  à  près de Mâcon 71 Saône-et-Loire 

Souffrez-vous de dents qui se déchaussent et vous habitez près de Mâcon 71 Saône-et-Loire ? IMPLANTYS - Dr Minassian Harmik est votre spécialiste en parodontologie et en soins des gencives. Nous comprenons à quel point ce problème peut affecter votre bien-être quotidien et votre confiance en vous. C'est pourquoi nos experts proposent des traitements personnalisés pour renforcer vos gencives et stabiliser vos dents. Avec des techniques avancées et une approche centrée sur le patient, nous visons à vous offrir un sourire sain et éclatant. Contactez-nous pour en savoir plus.

 

Dentiste implantologie dentaire pour dents cassées proche de à  près de Mâcon 71 Saône-et-Loire 

Si vous êtes aux prises avec des dents cassées et que vous vivez proche de près de Mâcon 71 Saône-et-Loire, IMPLANTYS - Dr Minassian Harmik est la solution qu'il vous faut. Nos dentistes experts en implantologie dentaire utilisent des méthodes éprouvées et des matériaux de premier choix pour vous offrir un sourire complet et naturel. Ne laissez pas des dents cassées affecter votre qualité de vie, optez pour une restauration complète grâce aux implants dentaires. IMPLANTYS - Dr Minassian Harmik vous assure un résultat fiable et durable.

Nous écrire
Les champs indiqués par un astérisque (*) sont obligatoires
Nos partenaires
ADF

Association Dentaire Française France ADF.

L'ADF, Association Dentaire Française, a été créée en 1970. Elle rassemble 25 organismes professionnels de l'univers dentaire. Son but principal est d'Accompagner, de Défendre et de Former les dentistes et futurs dentistes. Elle organise chaque année son congrès à Paris, le Congrès ADF, qui perme...
En savoir plus
Straumann

Fournisseur de matériel implantaire Suisse Straumann.

Straumann est une des trois marques d'implants utilisées au cabinet. Les implants sont en titane, ils sont donc robustes et parfaitement ostéo-intégrables.
En savoir plus
Annuaire des cabinets dentaires à Lyon et dans le Rhône (69)

Annuaire des cabinets dentaires à Lyon et dans le Rhône (69) Jalis.

Un guide pratique et utile pour profiter du meilleur du web. Des informations et des services en ligne. Un panorama de savoir-faire, de ressources et de compétences à votre disposition
En savoir plus