Prise en charge de parodontite et inflammation de la gencive près de Villefranche-sur-Saône 69400

Prise en charge de parodontite et inflammation de la gencive près de Villefranche-sur-Saône 69400
Quelle solution durable pour le remplacement de toutes les dents en secteur Beaujolais ?

Quelle solution durable pour le remplacement de toutes les dents dans le secteur Beaujolais ?

Retrouver le sourire avec une prothèse fixe sur implants dans le Beaujolais Au cabinet Implantys, nous proposons des solutions fixes pour remplacer l’ensemble des dents perdues, grâce à la pose de 4 ou 6 implants supportant une prothèse complète. Après un examen 3D (cone beam) pour évaluer la qualité osseuse, nos chirurgiens-dentistes spécialisés établiront avec vous un plan de traitement adapté. Cette alternative au dentier classique vous offre un maintien optimal, un confort durable et un résultat esthétique naturel.
En savoir plus
Quelle est la durée de vie d'un implant en titane ou zircone, posé près de Dardilly ?

Quelle est la durée de vie d'un implant dentaire en titane ou zircone, posé près de Dardilly ?

Au cabinet Implantys, nous utilisons exclusivement des implants de marques reconnues pour leur fiabilité et leur durabilité : Straumann, Anthogyr et Nobel-Biocare. Combinés à une excellente hygiène bucco-dentaire et à un suivi régulier, ces implants offrent une solution durable pour votre santé orale. Un entretien quotidien rigoureux et des contrôles annuels sont essentiels pour préserver la santé de vos implants sur le long terme.
En savoir plus
couronne sur dent naturelle

Près de Cluny, pose d'un implant dentaire sur une dent absente ou abimée par un chirurgien dentiste Implantys

Après la perte d’une dent due à une carie, une maladie des gencives ou un traumatisme, l’implant dentaire permet de retrouver un sourire complet et stable. Au cabinet Implantys, nos spécialistes évaluent la qualité de votre os et vous proposent une solution personnalisée, incluant si besoin une greffe osseuse, pour garantir le succès de votre implant.
En savoir plus
place

Nos prestations sur le secteur de près de Villefranche-sur-Saône 69400

https://www.sunstargum.com/fr-fr/lexique/gencive.html

Que faire en cas de gencives douloureuses sans saignement près de Bourg-en-Bresse ?

Des gencives douloureuses peuvent indiquer une gingivite débutante. Le cabinet Implantys près de Bourg-en-Bresse vous propose un diagnostic personnalisé pour traiter rapidement l’inflammation et préserver durablement la santé de vos gencives.
En savoir plus
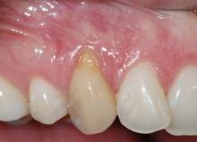
Au cabinet Implantys près de Châtillon-sur-Chalaronne, le surfaçage radiculaire effectué en prévention d'une aggravation d'une pathologie gingivale

Au cabinet Implantys près de Châtillon-sur-Chalaronne, le surfaçage radiculaire effectué en prévention d'une aggravation d'une pathologie gingivale

Le surfaçage radiculaire pratiqué proche de Châtillon-sur-Chalaronne est un traitement parodontal essentiel pour éliminer le tartre sous la gencive et stopper la parodontite. Réalisé dans notre cabinet dentaire, il permet de préserver les dents, de réduire l’inflammation et d’améliorer durablement la santé des gencives.
En savoir plus
center_focus_strong

Notre zone d'activité pour ce service Prise en charge de parodontite et inflammation de la gencive

Quand et pourquoi avoir besoin d'un comblement de sinus et/ou d'une greffe osseuse près de Belleville-en-Beaujolais ?

Quand et pourquoi avoir besoin d'un comblement de sinus et/ou d'une greffe osseuse près de Belleville-en-Beaujolais ?

Le cabinet Implantys, près de Belleville-en-Beaujolais, propose greffes osseuses et comblements de sinus pour restaurer l’os maxillaire, facilitant la pose d’implants dentaires avec des solutions personnalisées et efficaces.
En savoir plus

Spécialiste des gencives et parodontologie pour traiter des dents qui se déchaussent  à  près de Villefranche-sur-Saône 69400 

IMPLANTYS - Dr Minassian Harmik, situé près de Villefranche-sur-Saône 69400, nous sommes spécialisés dans le traitement des gencives et de la parodontologie. Si vous avez des dents qui se déchaussent, c'est un signe qu'une intervention est nécessaire pour prévenir d'autres complications. Nos spécialistes des gencives sont hautement qualifiés pour diagnostiquer et traiter les affections parodontales. Avec une approche holistique et des équipements de dernière génération, nous proposons des solutions adaptées à chaque cas. Retrouvez la santé et l'esthétique de votre sourire en faisant appel aux services de IMPLANTYS - Dr Minassian Harmik.

 

Dentiste implantologie dentaire pour dents cassées proche de à  près de Villefranche-sur-Saône 69400 

Ne laissez pas des dents cassées ruiner votre confiance en vous. IMPLANTYS - Dr Minassian Harmik, votre clinique dentaire de choix proche de près de Villefranche-sur-Saône 69400, est spécialisée en implantologie dentaire pour réparer et remplacer les dents endommagées. Nos dentistes hautement qualifiés évaluent chaque cas individuellement pour proposer la meilleure solution implantaire pour vous. Faites le choix d'une dentition saine et complète en optant pour les services experts de IMPLANTYS - Dr Minassian Harmik. Prenez rendez-vous dès maintenant pour bénéficier d'une consultation personnalisée.

Nous écrire
Les champs indiqués par un astérisque (*) sont obligatoires
Nos partenaires
Laboratoire dentaire Brignais Artdenteck

Laboratoire dentaire Brignais Artdenteck.

Le cabinet dentaire Implantys a choisi le laboratoire Artdenteck pour réaliser quelques unes de ses prothèses sur implants.
En savoir plus
Nobel Biocare

Fournisseur de matériel implantaire Paris Nobel Biocare.

Nobel Biocare est une des trois marques d'implants utilisées au cabinet. Les implants sont en titane, ils sont donc robustes et parfaitement ostéo-intégrables.
En savoir plus
Agence web à Lyon

Agence web pour chirurgien dentiste à Lyon Jalis.

Jalis est une agence web de premier plan spécialisée dans la création de sites internet pour les professionnels de la santé, y compris les dentistes, à Lyon et ses environs.
En savoir plus