Dentiste à près de Grenoble 38 Isère pour devis implant dentaire

Dentiste à près de Grenoble 38 Isère pour devis implant dentaire
L'implant dentaire, une solution fixe pour se débarrasser de son dentier près de Chatillon-sur-Chalaronne

L'implant dentaire près de Chatillon-sur-Chalaronne : une solution fixe pour se débarrasser de son dentier

Si le dentier offre une solution économique, il présente souvent des limites en termes de confort et de stabilité. Au cabinet Implantys, nous proposons des alternatives fixes par implants dentaires, offrant une meilleure tenue, une mastication naturelle et une esthétique durable. En cas d’édentement total, la technique All-on-4® permet une prothèse complète stable et accessible.
En savoir plus
Où se faire poser des implants dentaires près de Dardilly ? Cabinet spécialisé Implantys situé à 20 minutes

Où se faire poser des implants dentaires près de Dardilly ? Cabinet spécialisé Implantys situé à 20 minutes

Le cabinet Implantys, proche de Dardilly, propose des soins implantaires spécialisés avec technologies avancées, accompagnement personnalisé et résultats rapides, assurant confort, efficacité masticatoire et esthétique à long terme.
En savoir plus
Détartrage et surfaçage radiculaire pour un nettoyage professionnel au cabinet Implantys proche de Reyrieux

Détartrage et surfaçage radiculaire pour un nettoyage professionnel au cabinet Implantys proche de Reyrieux

Le cabinet Implantys près de Reyrieux réalise détartrage et surfaçage radiculaire pour éliminer plaque et tartre. Ces soins nettoient dents et racines, réduisent l’inflammation et protègent la santé gingivale.
En savoir plus
place

Nos prestations sur le secteur de près de Grenoble 38 Isère

Bénéficiez d’un suivi hygiénique et de conseils personnalisés après chirurgie parodontale à Villefranche-sur-Saône pour optimiser la guérison

Bénéficiez d’un suivi hygiénique et de conseils personnalisés après chirurgie parodontale à Villefranche-sur-Saône pour optimiser la guérison

Optimisez votre chirurgie parodontale à Villefranche-sur-Saône avec l’accompagnement expert d'Implantys. Découvrez nos protocoles de suivi post-opératoire, conseils d'hygiène personnalisés et soins des gencives pour garantir une cicatrisation rapide. Assurez la pérennité de votre santé bucco-dentaire et prévenez durablement la parodontite grâce à notre expertise locale.
En savoir plus
Hygiène bucco-dentaire post-opératoire : les bons gestes à adopter après la pose d’implants pour une cicatrisation optimale proche de Trévoux

Hygiène bucco-dentaire post-opératoire : les bons gestes à adopter après la pose d’implants pour une cicatrisation optimale proche de Trévoux.

Après la pose d’un implant, une hygiène douce et adaptée est essentielle. Les premières 24 heures, évitez tout brossage sur la zone opérée. Dès le lendemain, un rinçage à la chlorhexidine est recommandé. Le brossage avec une brosse extra-souple peut reprendre à partir du 5ᵉ jour, selon la cicatrisation. Pas de brossettes ni de jet dentaire avant validation du chirurgien.
En savoir plus
center_focus_strong

Notre zone d'activité pour ce service Dentiste à près de Grenoble 38 Isère pour devis implant dentaire

https://www.sunstargum.com/fr-fr/sante-bucco-dentaire/differences-entre-gencives-fragiles-gingivite-maladies-des-gencives.html

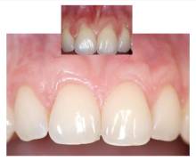
Que faire en cas d'inflammation des gencives au cabinet dentaire Implantys à proximité d'Ecully ?

Gencives rouges, gonflées ou qui saignent ? Il s'agit peut-être d'une gingivite. Le cabinet Implantys près d’Écully vous aide à en identifier la cause et prévenir toute évolution vers la parodontite.
En savoir plus

Spécialiste des gencives et parodontologie pour traiter des dents qui se déchaussent  à  près de Grenoble 38 Isère 

IMPLANTYS - Dr Minassian Harmik, situé près de Grenoble 38 Isère, nous sommes spécialisés dans le traitement des gencives et de la parodontologie. Si vous avez des dents qui se déchaussent, c'est un signe qu'une intervention est nécessaire pour prévenir d'autres complications. Nos spécialistes des gencives sont hautement qualifiés pour diagnostiquer et traiter les affections parodontales. Avec une approche holistique et des équipements de dernière génération, nous proposons des solutions adaptées à chaque cas. Retrouvez la santé et l'esthétique de votre sourire en faisant appel aux services de IMPLANTYS - Dr Minassian Harmik.

 

Dentiste implantologie dentaire pour dents cassées proche de à  près de Grenoble 38 Isère 

Ne laissez pas des dents cassées ruiner votre confiance en vous. IMPLANTYS - Dr Minassian Harmik, votre clinique dentaire de choix proche de près de Grenoble 38 Isère, est spécialisée en implantologie dentaire pour réparer et remplacer les dents endommagées. Nos dentistes hautement qualifiés évaluent chaque cas individuellement pour proposer la meilleure solution implantaire pour vous. Faites le choix d'une dentition saine et complète en optant pour les services experts de IMPLANTYS - Dr Minassian Harmik. Prenez rendez-vous dès maintenant pour bénéficier d'une consultation personnalisée.

Nous écrire
Les champs indiqués par un astérisque (*) sont obligatoires
Nos partenaires
Fournisseur de matériel implantaire Sallanches Anthogyr

Fournisseur de matériel implantaire Sallanches Anthogyr.

Anthogyr est une des trois marques d'implants utilisées au cabinet. Les implants sont en titane, ils sont donc robustes et parfaitement ostéo-intégrables.
En savoir plus
Nobel Biocare

Fournisseur de matériel implantaire Paris Nobel Biocare.

Nobel Biocare est une des trois marques d'implants utilisées au cabinet. Les implants sont en titane, ils sont donc robustes et parfaitement ostéo-intégrables.
En savoir plus
CPAM

Assurance Maladie France CPAM.

Bien que la chirugie implantaire ne soit pas prise en charge par la Sécurité Sociale, certains actes tels que la pose de couronnes sur implants bénéficient d'une petite prise en charge.
En savoir plus