Chirurgien dentiste pour dents qui se déchaussent près de Tassin-la-Demi-Lune 69 Ouest Lyonnais

Chirurgien dentiste pour dents qui se déchaussent près de Tassin-la-Demi-Lune 69 Ouest Lyonnais
Greffe de gencive pour stimuler naturellement la régénération des tissus par notre spécialiste Dr Romagna proche de Anse

Greffe de gencive pour stimuler naturellement la régénération des tissus par des spécialistes proche de Anse

Après votre traitement parodontal chez Implantys près de Belleville-en-Beaujolais, la maintenance régulière avec nettoyages et contrôles est essentielle pour préserver la santé de vos gencives sur le long terme.
En savoir plus
Situation avant/après comblement de sinus

Les différentes raisons d'effectuer un comblement de sinus pour une pose d'implants dentaires proche de Bourg-en-Bresse

Près de Bourg-en-Bresse, le comblement de sinus est recommandé en cas de manque osseux pour stabiliser les implants, prévenir les perforations et garantir leur durabilité, surtout en zone postérieure.
En savoir plus
Hygiène bucco-dentaire post-opératoire : les bons gestes à adopter après la pose d’implants pour une cicatrisation optimale proche de Trévoux

Hygiène bucco-dentaire post-opératoire : les bons gestes à adopter après la pose d’implants pour une cicatrisation optimale proche de Trévoux.

Après la pose d’un implant, une hygiène douce et adaptée est essentielle. Les premières 24 heures, évitez tout brossage sur la zone opérée. Dès le lendemain, un rinçage à la chlorhexidine est recommandé. Le brossage avec une brosse extra-souple peut reprendre à partir du 5ᵉ jour, selon la cicatrisation. Pas de brossettes ni de jet dentaire avant validation du chirurgien.
En savoir plus
place

Nos prestations sur le secteur de près de Tassin-la-Demi-Lune 69 Ouest Lyonnais

Pourquoi la parodontite évolue-t-elle plus rapidement sans traitement adapté et comment y remédier, à proximité de Limonest ?

Pourquoi la parodontite évolue-t-elle plus rapidement sans traitement adapté et comment y remédier, à proximité de Limonest ?

La parodontite est une infection gingivale chronique qui progresse rapidement sans soins adaptés, entraînant inflammation, perte osseuse et mobilité dentaire. Une prise en charge précoce près de Limonest, avec des soins spécialisés et personnalisés, permet de ralentir la maladie, préserver les dents et améliorer durablement la santé bucco-dentaire.
En savoir plus
couronne sur implant pour remplacer une dent manquante proche de Mâcon

Prothèse sur implant pour remplacer une ou plusieurs dents manquantes proche de Mâcon

Au cabinet Implantys, nous assurons la pose d’implants dentaires avec réalisation de prothèses fixes en zircone ou en céramique. Après une phase de cicatrisation, la prothèse est fixée sur l’implant grâce à une base en titane, garantissant stabilité, esthétique et durabilité. Toutes nos prothèses sont vissées — pour éviter l’usage de colle — et sont fabriquées en France pour une qualité optimale.
En savoir plus
center_focus_strong

Notre zone d'activité pour ce service Chirurgien dentiste pour dents qui se déchaussent

Réalisation d’un guide chirurgical pour faciliter la pose de 2 implants du bas

Réalisation d’un guide chirurgical grâce à la technologie numérique chez Implantys proche de Lozanne

Le cabinet Implantys, près de Lozanne, utilise l’imagerie 3D, la planification virtuelle et l’impression 3D pour créer des guides chirurgicaux sur mesure, assurant une pose d’implants précise, rapide et sécurisée.
En savoir plus

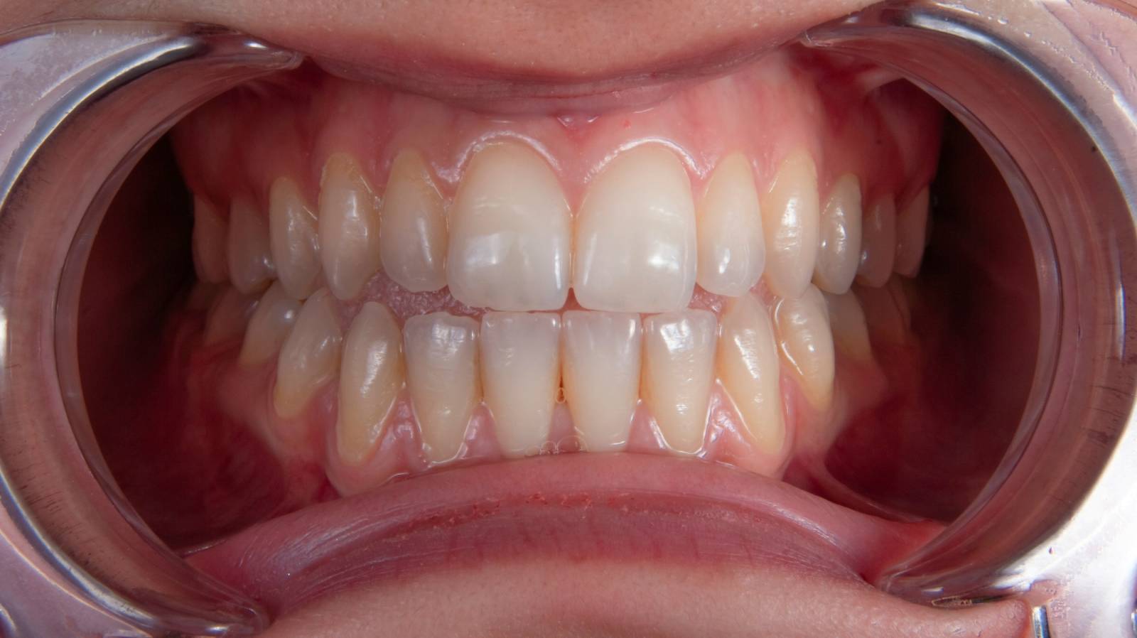
Spécialiste des gencives et parodontologie pour traiter des dents qui se déchaussent  à  près de Tassin-la-Demi-Lune 69 Ouest Lyonnais 

Souffrez-vous de dents qui se déchaussent et vous habitez près de Tassin-la-Demi-Lune 69 Ouest Lyonnais ? IMPLANTYS - Dr Minassian Harmik est votre spécialiste en parodontologie et en soins des gencives. Nous comprenons à quel point ce problème peut affecter votre bien-être quotidien et votre confiance en vous. C'est pourquoi nos experts proposent des traitements personnalisés pour renforcer vos gencives et stabiliser vos dents. Avec des techniques avancées et une approche centrée sur le patient, nous visons à vous offrir un sourire sain et éclatant. Contactez-nous pour en savoir plus.

 

Dentiste implantologie dentaire pour dents cassées proche de à  près de Tassin-la-Demi-Lune 69 Ouest Lyonnais 

Si vous êtes aux prises avec des dents cassées et que vous vivez proche de près de Tassin-la-Demi-Lune 69 Ouest Lyonnais, IMPLANTYS - Dr Minassian Harmik est la solution qu'il vous faut. Nos dentistes experts en implantologie dentaire utilisent des méthodes éprouvées et des matériaux de premier choix pour vous offrir un sourire complet et naturel. Ne laissez pas des dents cassées affecter votre qualité de vie, optez pour une restauration complète grâce aux implants dentaires. IMPLANTYS - Dr Minassian Harmik vous assure un résultat fiable et durable.

Nous écrire
Les champs indiqués par un astérisque (*) sont obligatoires
Nos partenaires
Practis Dental

Cycles de formation en implantologie Villefranche-sur-Saône Practis Dental.

L'association PractisDENTAL innove depuis quelques années et met l’accent sur l’approfondissement des connaissances. Cette association à l'initiative de Dr Minassian et formée de chirurgiens dentistes, organise des journées de formation, ainsi que des soirées conférences dispensées par des experts...
En savoir plus
Annuaire des cabinets dentaires à Lyon et dans le Rhône (69)

Annuaire des cabinets dentaires à Lyon et dans le Rhône (69) Jalis.

Un guide pratique et utile pour profiter du meilleur du web. Des informations et des services en ligne. Un panorama de savoir-faire, de ressources et de compétences à votre disposition
En savoir plus
ADF

Association Dentaire Française France ADF.

L'ADF, Association Dentaire Française, a été créée en 1970. Elle rassemble 25 organismes professionnels de l'univers dentaire. Son but principal est d'Accompagner, de Défendre et de Former les dentistes et futurs dentistes. Elle organise chaque année son congrès à Paris, le Congrès ADF, qui perme...
En savoir plus