Centre dentaire expert en implantologie dentaire et prothèse dentaire près de Mâcon 71 Saône-et-Loire

Centre dentaire expert en implantologie dentaire et prothèse dentaire près de Mâcon 71 Saône-et-Loire
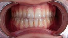
Retrouver un sourire esthétique grâce à la pose d'implants dentaires avec mise en charge immédiate près de Chatillon-sur-Chalaronne

Retrouver un sourire esthétique grâce à la pose d'implants dentaires avec mise en charge immédiate près de Chatillon-sur-Chalaronne

Retrouvez un sourire fixe en 24h grâce aux implants dentaires avec mise en charge immédiate à 2 pas de Chatillon-sur-Chalaronne. Au cabinet Implantys, nous vous proposons une solution confortable et esthétique, évitant les prothèses amovibles. Bénéficiez d’un accompagnement expert et d’une réhabilitation rapide pour retrouver confiance, fonction et bien-être au quotidien.
En savoir plus
Dr. Alexandre Badet

Dr. Alexandre Badet

Chirurgien dentiste, implantologue
En savoir plus
L'une des recommandations à suivre après une chirurgie parodontale près d'Arnas est de sucer des glaçons !

Quelles sont les recommandations à suivre après une chirurgie parodontale dans votre cabinet près d'Arnas ?

Après une chirurgie gingivale, suivez les consignes : repos, alimentation douce, hygiène adaptée, glace pour limiter le gonflement. Le cabinet Implantys près d'Arnas assure un suivi post-opératoire attentif.
En savoir plus
place

Nos prestations sur le secteur de près de Mâcon 71 Saône-et-Loire

Améliorez durablement votre santé bucco-dentaire grâce à la maintenance parodontale proposée par nos spécialistes près de Mâcon

Améliorez durablement votre santé bucco-dentaire grâce à la maintenance parodontale proposée par nos spécialistes près de Mâcon

La maintenance parodontale régulière, assurée par nos spécialistes proches de Mâcon, prévient les maladies des gencives et stabilise les résultats thérapeutiques. Basée sur un suivi personnalisé, des soins adaptés et des technologies modernes, elle réduit les risques de récidive et favorise durablement la santé bucco-dentaire.
En savoir plus
Consultez-vous assez tôt un cabinet de parodontologie au nord de Lyon pour traiter une gingivite avant aggravation ?

Consultez-vous assez tôt un cabinet de parodontologie au nord de Lyon pour traiter une gingivite avant aggravation ?

Une gingivite non traitée peut rapidement évoluer vers une maladie parodontale complexe, entraînant des conséquences sur la santé bucco-dentaire. Consulter précocement un cabinet de parodontologie au nord de Lyon, notamment à Villefranche-sur-Saône, augmente les chances de stopper l’inflammation g...
En savoir plus
center_focus_strong

Notre zone d'activité pour ce service Centre dentaire expert en implantologie dentaire et prothèse dentaire

https://www.sunstargum.com/fr-fr/lexique/gencive.html

Que faire en cas de gencives douloureuses sans saignement près de Bourg-en-Bresse ?

Des gencives douloureuses peuvent indiquer une gingivite débutante. Le cabinet Implantys près de Bourg-en-Bresse vous propose un diagnostic personnalisé pour traiter rapidement l’inflammation et préserver durablement la santé de vos gencives.
En savoir plus

Spécialiste des gencives et parodontologie pour traiter des dents qui se déchaussent  à  près de Mâcon 71 Saône-et-Loire 

Souffrez-vous de dents qui se déchaussent et vous habitez près de Mâcon 71 Saône-et-Loire ? IMPLANTYS - Dr Minassian Harmik est votre spécialiste en parodontologie et en soins des gencives. Nous comprenons à quel point ce problème peut affecter votre bien-être quotidien et votre confiance en vous. C'est pourquoi nos experts proposent des traitements personnalisés pour renforcer vos gencives et stabiliser vos dents. Avec des techniques avancées et une approche centrée sur le patient, nous visons à vous offrir un sourire sain et éclatant. Contactez-nous pour en savoir plus.

 

Dentiste implantologie dentaire pour dents cassées proche de à  près de Mâcon 71 Saône-et-Loire 

Si vous êtes aux prises avec des dents cassées et que vous vivez proche de près de Mâcon 71 Saône-et-Loire, IMPLANTYS - Dr Minassian Harmik est la solution qu'il vous faut. Nos dentistes experts en implantologie dentaire utilisent des méthodes éprouvées et des matériaux de premier choix pour vous offrir un sourire complet et naturel. Ne laissez pas des dents cassées affecter votre qualité de vie, optez pour une restauration complète grâce aux implants dentaires. IMPLANTYS - Dr Minassian Harmik vous assure un résultat fiable et durable.

Nous écrire
Les champs indiqués par un astérisque (*) sont obligatoires
Nos partenaires
Cabinet dentaire spécialisé en implantologie Villefranche-sur-Saône Implantys

Cabinet dentaire spécialisé en implantologie Villefranche-sur-Saône Implantys.

Ancien site internet du cabinet dentaire qui n'est plus à jour.
En savoir plus
Nobel Biocare

Fournisseur de matériel implantaire Paris Nobel Biocare.

Nobel Biocare est une des trois marques d'implants utilisées au cabinet. Les implants sont en titane, ils sont donc robustes et parfaitement ostéo-intégrables.
En savoir plus
Annuaire des cabinets dentaires à Lyon et dans le Rhône (69)

Annuaire des cabinets dentaires à Lyon et dans le Rhône (69) Jalis.

Un guide pratique et utile pour profiter du meilleur du web. Des informations et des services en ligne. Un panorama de savoir-faire, de ressources et de compétences à votre disposition
En savoir plus